Schedule Appointment
Location
The Premier Cosmetic and Family Dental Group in the Northshore!!
(224) 804-6055
Our Office
720 Waukegan Road
Unit D
Deerfield
,
IL
60015
(224) 804-6055
Visit Us Online
Home
About Us
Our Office
Office Tour
New Patients
Smile Gallery
Testimonials
Corporate / School Sponsorship
Our Doctors
Manal Ibrahim, DMD
Michael Gilbert, DDS
Georgia Kalkanis, DDS
Our Team
Services
Emergency Treatment
Extractions
Oral Cancer Screening
Oral Exams
Preventative Program
Root Canals
Crowns & Caps
Dental Bridges
Dental Fillings
Dentures
Implant Dentistry
Botox®
Invisalign®
Teeth Whitening
Veneers
CBCT
Digital Radiography
Dental Health
Dental Health Library
Dental Videos
Specials
COVID-19
Contact
Contact Us
Schedule Appointment
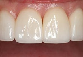
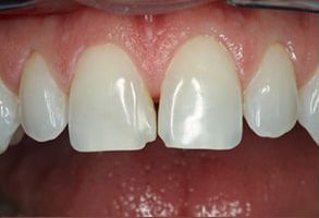
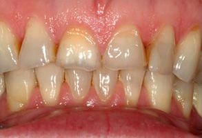
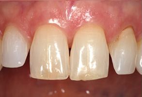
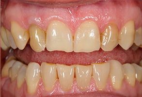
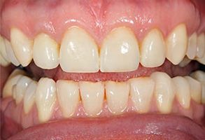
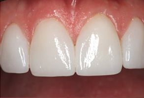
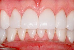
Dentistry Before and After Photos
Before
After
Before
After
Before
After
Before
After
Before
After
Before
After
Before
After
Our Office
720 Waukegan Road
Unit D
Deerfield
,
IL
60015
(224) 804-6055
Visit Us Online
(224) 804-6055
© 2026 myHealth Dentistry. All Rights Reserved. |
Accessibility Policy
Dentist Website Design
Dentist in Deerfield
|
Dentist Near Me